
“あなた”は今の自分に満足していますか?
人と話す時、下を向いて話をしていませんか?
笑う時、無意識に手で口を隠していませんか?
もっと自然に、もっと素直に、話をしたり、笑ったりしてみませんか。
あなたも、オールセラミック治療で、
新しい自分捜しを始めてみませんか?

人工物とは思えない程の自然な透明感を再現
前歯の色が変色している
セラミックス治療で自分の歯と
同じ様な自然な感じを再現

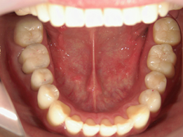
治療前の口腔写真
治療後の口腔写真(その1)
治療後の口腔写真(その2)
治療後の口腔写真(その3)

咬み合わせが虫歯になっています
虫歯を完全に除去しました
ダイレクトボンディング終了
自分の歯と同じに仕上りました