

新しい自分発見!!
外に出て恋をしよう! 仕事をしよう!
あなたの魅力を最大限に引き出すビューティーホワイトニング
どんな自分に変わりますか?
クールな私。 かわいい私。 それとも・・・・。
今こそ、「あなたの笑顔」が主導権を握るチャンス
たった『1週間』で「輝く白い歯」があなたのものに・・・・。

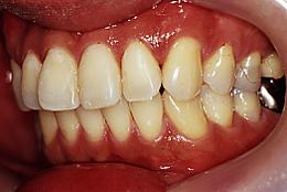
ホワイトニング前
1週間後ホワイトニング終了
ホワイトニング前
ホワイトニング後