

『年齢なんてどうでもいい。』
『女性は、いくつになっても美しくありたい。』
そう願う“あなた”に最適な、年齢を感じさせない義歯があります。
それが『自然な入れ歯』です。
今まで、多くの患者さんに喜んで頂いております。 あなたも体験できます。
「自然な入れ歯」で新しい自分と出逢ってみませんか
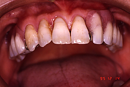
一般的な入れ歯(保険義歯)
前歯にバネが見える
自然な入れ歯
バネがなくより自然な装着感
バネが見えて咬み合わせも低い
バネが見えなく自然
すぐにあきらめずに、根気よく咬む練習をしましょう。

入れ歯は両方の奥歯で咬み前歯は使わない事!!これが入れ歯に適した咬み方です。
今までの入れ歯が、前歯しか咬めなかったので、前咬みの癖がとれず、痛くて咬めないという人があまりにも多いのです。前咬みは、顎関節(あごのかんせつ)に負担をかけるので、やめましょう。
また、片方咬みもやめましょう。
舌をうまく使って、両方の奥歯で咬む練習をしましょう。
すぐにあきらめずに、根気よく咬む練習をしましょう。
入れ歯を汚くする事は、その入れ歯にたまった細菌や真菌が繁殖し、呼気に混ざり肺炎を起こす危険性があるからです。
食べたら磨くこれは、歯があってもなくても、自分の健康のために行う習慣です。
義歯専用歯ブラシを使用して、丁寧に磨いた後、義歯洗浄剤も使いましょう。
入れ歯は、新しく出来上がってすぐ使えるようになりません。 痛いところが必ず出てきます。それを歯医者さんが一生懸命調整します。歯医者さんを信じて、根気強く調整に通いましょう。
使っているうちに片方の奥歯で咬んだり、前で咬んだり、口の中が変化したりと、いろいろな不都合がおこります。
少しでも長く快適に入れ歯を使うには、定期検診に通う事が大切です。
1ヶ月に1回は、定期検診に通いましょう。